Приветствую вас!

Я создал этот раздел не для того, чтобы рассказать какой я классный доктор или продать вам импланты, а для того, чтобы в куче непонятной информации в интернете по поводу имплантации, вы смогли простым и доступным языком прочитать достоверную информацию.



Основные вопросы об имплантах

Как выглядит имплант?


Слева-направо: шуруп(имплант), переходник, винт и зуб(коронка)



Чем отличаются импланты разных производителей?

На сегодняшний день имплантов на нашем рынке представлено огромное множество. Не побоюсь даже сравнить рынок зубных имплантов с рынком автомобилей. Существуют десятки фирм-производителей имплантов, и каждая из них выпускает по несколько моделей имплантов разного размера и диаметра!

На фото малая часть существующих на рынке имплантов.

Пример: Фирма АБВ выпускает 5 разных имплантов (по форме) :111/222/333/444/555.

Диаметры имплантов: 3.0/3.5/4.0/4.5/5.0/6.0

Длина имплантов(мм): 6/7/8/10/12/14/16.

Итого: имплант АБВ 444, 4.5*10.

Так врачи подбирают подходящий имплант после внимательного просмотра снимка пациента - компьютерной томограммы.

Кроме фирмы АБВ, есть ещё БВГ, ВГД, ГДЕ, ДЕЖ … и многие другие.


Импланты различаются:

 - по форме: (структура резьбы; наличие/отсутствие полированной шейки; разное строение внутренней части импланта, в которую вкручивается зуб (ЭТО САМОЕ ВАЖНОЕ МЕСТО, которое определяет необходимый уровень погружения конкретного импланта в кость и от этого сильно зависит долгосрочный результат лечения).

- размерами (длинами и диаметрами): большинство размеров имплантов у различных производителей схожи, но у некоторых есть короткие и узкие импланты, которых нет у других. А такие импланты порой дают возможность избежать наращиваний или вообще кроме них ничего другого нельзя поставить в принципе.

 - чистотой очистки титана и наносимым поверх импланта покрытием, которое влияет на приживляемость.

- наличием удобного и качественного сопутствующего оборудования: начиная от набора свёрел и заканчивая множеством железок и переходников, необходимых для изготовления зуба и непосредственно входящих в его состав.

ОНИ ВСЕ РАЗНЫЕ У РАЗНЫХ ПРОИЗВОДИТЕЛЕЙ! И ПО КАЧЕСТВУ В ТОМ ЧИСЛЕ!

- количеством лет существования на рынке производителя, его репутацией, гарантийным обслуживанием.

Приживаются ли импланты? 

Да, конечно!

НО: если у вас нет противопоказаний к имплантации по состоянию здоровья.

 Явление сращивания титана с костью открыли в 1952 году, а первый имплант человеку установили в 1965 году. Итого получается импланты ставят уже 58 лет! Процент приживления имплантов 97%. То есть из 100 штук 3 могут не прижиться. Это не означает, что у вас испортилась челюсть и теперь всё, пиши-пропало! Это означает, что кость не вросла в имплант. Между имплантом и костью проросла десна и поэтому имплант начинает шататься. У кого-то раньше у кого-то позже. Срок неприживления от 5-7 дня после имплантации до того момента, как доктор начнёт что-то к импланту прикручивать-откручивать и в этот момент имплант выкрутится.

Как понять, что имплант не прижился? 
  • Если после имплантации в течение 7-14 дней остаются ноющие боли, то скорее всего имплант не приживается (если конечно не повреждены соседние зубы, нервы и т.д.).
  • Не прижившийся имплант может не болеть, но при первом прикручивании/откручивании переходников к нему, он выкрутится.

Примеры:

Что делать, если имплант не прижился?

НЕ ПАНИКОВАТЬ! Необходимо выкрутить имплант (это легко и не больно (с анестезией естественно), вычистить десну, подождать 3 месяца, сделать новый

кт-снимок и поставить заново новый имплант.

Сколько приживается имплант? 

Минимальный срок приживления импланта: 3-4 месяца.

Можно ли удалить зуб и сразу поставить имплант?

Да, такое возможно, но не всегда. Чтобы ответить на этот вопрос, необходимо сначала посмотреть кт-снимок этого зуба. Оценить есть ли на нём воспаление? Если есть, то насколько оно большое? Достаточно ли кости, чтобы поставить сразу имплант или недостаточно? Далее… на сколько будет сложным удаление? 5 минут или 2 часа? Все эти моменты влияют на ответ.

Сильно ли болит после имплантации? Сколько будет болеть? Надо ли брать отпуск/больничный?

Как правило, сильных болей после имплантации нет! Может поднывать место имплантации в течении 1-5 дней. С этим с легкостью справится таблетка обезболивающего. А бывает, что не болит вообще! По ощущениям, установка импланта переносится легче, чем, например, удаление бокового зуба. Необходимости брать отпуск/больничный нет в случае, если вам не предстоит поставить сразу много имплантов (10 и более) и/или делать ещё дополнительные объемные процедуры по наращиванию кости.

Какие жалобы будут после имплантации? 
  • может поныть(поболеть)
  • может быть припухлость (не обязательно). Если она появляется, то до 3 дня может увеличиваться, а после 3 дня идёт на спад.
  • может быть синяк на щеке (не обязательно)
  • может подняться температура (крайне редко)
Какие рекомендации и ограничения после имплантации? 
  • Как правило, после имплантации необходимо будет пропить курс антибиотиков (3-5 дней), чтобы имплант не воспалился.
  •  обезболивающие (при необходимости)
  • в день процедуры (после неё) прикладывать что-то холодное снаружи (у щеки) в области имплантации (бутылка с замороженной водой, курица замороженная и т.д.), чтобы минимизировать отёк.
  • кушать можно через 2 часа, пить через 10 минут.
  • бани, сауны, активный спорт необходимо отложить на 3-5 дней
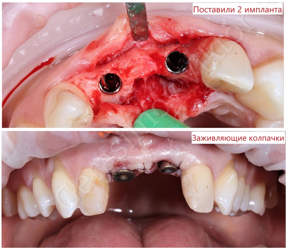
Можно ли сделать временный зуб, чтобы не ходить с дыркой? 

Да. Есть несколько вариантов. Надо посмотреть какой подойдёт именно в вашем случае.

Пример:

Сколько простоит имплант?

В идеале всю жизнь.

Смотря сколько планируете прожить:)))

На долгостояние импланта во рту влияют много факторов:

Опыт врача, правильный выбор имплантов, их количества и размеров; правильная установка импланта; наращивание кости/десны (при необходимости); изготовление временной коронки(зуба); правильно изготовленная постоянная коронка(зуб); Вы должны хорошо чистить зубы, чтобы не было налёта и зубных камней; приходить на контрольные осмотры с кт-снимком раз в год; делать чистку зубов в стоматологии по мере необходимости.

 Если всё вышеизложенное будет исполнено по уму, тогда у вас всё будет хорошо на долгие годы!

Если нет, то можно говорить о следующих цифрах:

3-5 лет - плохой результат

10 и более лет - хороший результат


P.S. ЕСЛИ ВЫ КУРИТЕ КАК ПАРОВОЗ, ПЬЕТЕ ЛИТРАМИ КОФЕ И НЕ ЧИСТИТЕ ЗУБЫ, ТО МОЖНО ЗАПЛАТИТЬ ХОТЬ МИЛЛИОН ДОЛЛАРОВ ЗА ИМПЛАНТ В САМОЙ ЛУЧШЕЙ КЛИНИКЕ МИРА У САМОГО УМНОГО СТОМАТОЛОГА, КОТОРЫЙ ПРИДУМАЛ СТОМАТОЛОГИЮ, И ВСЁ РАВНО У ВАС НАЧНУТСЯ ПРОБЛЕМЫ С ИМПЛАНТОМ ЧЕРЕЗ КАКОЕ-ТО ВРЕМЯ!!!


Какая гарантия на имплантацию? 

1 год.

Можете услышать такую фразу – пожизненная гарантия на имплант. Это значит, что производитель бесплатно меняет имплант на новый.

 Повторная имплантация либо бесплатная, либо за себестоимость, либо по полной цене. Эти условия могут отличаться в разных клиниках.

Какие противопоказания к имплантации?

Импланты нельзя ставить, если у вас есть следующие заболевания:

1. сахарный диабет с большими цифрами сахара (10 и более)

 2. болезни крови/нарушения кроветворной функции:

   лимфогранулематоз, лейкозы, гемолитические анемии, талассемия.

 3. злокачественные опухоли

 4. Аллергия на местные и общие анестетики, титан/цирконий.

 5. Ревматические болезни (болезни соединительной ткани)

   (Системная красная волчанка, дерматомиозит(полимиозит), системная склеродермия,

   Болезнь Шегрена, псориатический артрит)

 6. Патология костной ткани (врожденная остеопатия, дисплазия, остеонекроз)

 7. Хроническая печеночная / почечная недостаточность.

 8. Болезни нервной системы (психозы, неврозы, наркомания, алкоголизм, шизофрения, слабоумие, паранойя, эпилепсия)

 9. Сифилис

10. Если у вас стоит Кардиостимулятор

11. Если вы принимаете таблетки Бисфосфонаты

Какие изменения происходят в челюсти после удаления зуба? ​ЛЕЧЕНИЕ ОТ 1 МЛН.РУБЛЕЙ
ЧИТАЕМ ОБЯЗАТЕЛЬНО!!!

ПОСЛЕ УДАЛЕНИЯ ЗУБА(ЗУБОВ) В ЧЕЛЮСТИ ВСЕГДА ПРОИСХОДЯТ ИЗМЕНЕНИЯ…НЕ В ЛУЧШУЮ СТОРОНУ!  ЧЕМ ДОЛЬШЕ ВЫ БУДЕТЕ ХОДИТЬ БЕЗ ЗУБА(ЗУБОВ) ТЕМ СИЛЬНЕЕ БУДУТ ИЗМЕНЕНИЯ!

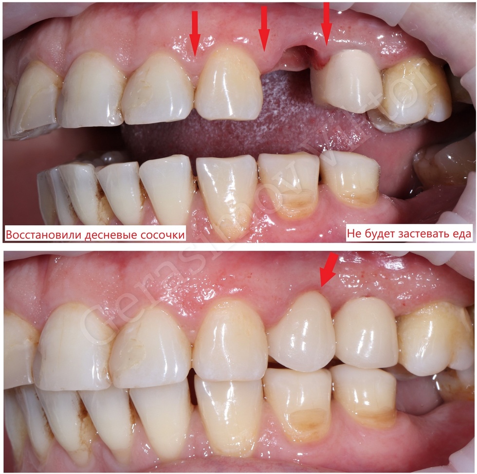
Когда ваш собственный зуб не удалён, вокруг него, как правило, достаточно кости и десны, уровень десны (зенит зуба) примерно такой же как у соседних зубов, между соседними зубами десна поднимается в виде волн (десневые сосочки), которые препятствуют застреванию пищи между зубами. После удаления зуба происходят изменения: кость и десна сужаются в ширине, уровень десны может стать выше или ниже, чем у соседних зубов, пропадают десневые сосочки, соседние зубы и зуб с противоположной челюсти начинают двигаться в сторону пустоты.

В связи с этими изменениями, новые зубы могут выглядеть не так, как те свои, что были ранее.

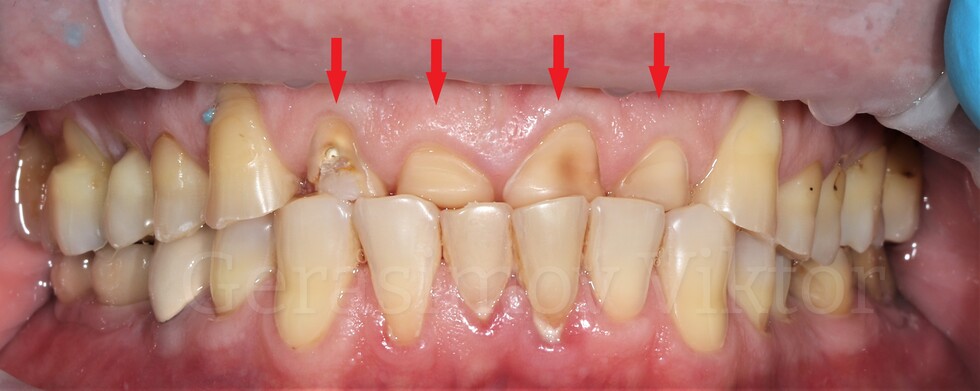
Пример:

Пациент пришел вставить боковые зубы сверху справа


Печаль заключается в том, что тут дело не только в красоте (это личное дело каждого), а еще в том, что из-за таких изменений (особенно жёлтая ступенька), нагрузка при жевании еды неадекватно распределяется по зубам и могут начаться функциональные проблемы - начинает со временем скалываться керамика с коронок, вылетают пломбы, стираются зубы, оголяются корни зубов, может начать болеть височно-нижнечелюстной сустав, в нём могут появиться щелчки, к этому могут добавиться головные боли…вы будете ходить к неврологу и лечить мигрени обезболивающими таблетками, а дело оказывается в суставе и зубах.

Я не преувеличиваю и не пугаю вас! Так происходит. 

Для пережёвывания шашлыка у нас работают 4 системы: зубы, десны, жевательные мышцы и височно-нижнечелюстной сустав.

При такой ситуации, как на картинке выше, со временем не выдерживает более слабая из этих систем (у каждого своя).

Тогда: 1) Либо ломаются, стираются, портятся зубы.

           2) Либо воспаляются десны, из-за этого уходит кость вокруг зубов. Зубы хорошие, но они начинают из-за этого шататься и разъезжаться веерообразно в стороны.

           3) Либо начинают перенапрягаться жевательные мышцы. Из-за этого может плохо открываться рот, болеть голова, может появиться асимметрия лица, могут начаться проблемы с зубами из-за перенапряжённых мышц.

           4) Либо начинает щёлкать и болеть сустав.  Также может болеть голова и тоже плохо открываться рот. Здесь стоматолог должен разобраться – это из-за мышц или сустава?


Почему так получается, как на картинке выше?

Пациенту удалили, например, несколько верхних правых боковых зубов.

При улыбке не видно, правда же?) Ну и отлично! Строим дачу, покупаем машину, квартиру, айфон, едем на море…Проходит несколько лет. Человек жуёт на одной стороне, зубы с которой могут начать сыпаться из-за перегрузки либо просто шашлык становится не очень удобно есть с одной стороны челюсти. Возникает желание вставить зубы. Нижние зубы при этом уже повылезали наверх. Он приходит к стоматологу и тот ему делает новые правые боковые зубы…но нижние стали длиннее поэтому новые зубы сделали короче. Появилась ступенька.

Далее по той же схеме с другой стороны.

Либо это может идти параллельно.

Главная суть, что фрагментами вставляются зубы с большими временными промежутками.

Либо тоже самое с пломбами. В течение 20-30 лет во рту появилось много пломб, каждая делалась в разное время, стиралась, переделывалась, подгонялась одна под другую, но в целом все зубы стирались и происходили изменения.

В итоге пациент получает картинку как наверху или хуже.

Он приходит к стоматологу с жалобами из тех 4 пунктов.

А стоматолог ему говорит: “Вам, голубчик, к сожалению, больше нельзя ничего фрагментарно сделать, подлечить, подлатать. Надо теперь все зубы делать заново и одним махом, чтобы их сделать длинными как раньше, ровными и без ступенек.

Это будет вам стоить от 1 млн рублей...”

Вот такая неприятная история.

 Поведем итог этому случаю.

Можно просто вставить зубы. Как и было сделано.

И дальше ждать последствий из тех 4 пунктов (они, кстати, уже есть, просто пока не критические для пациента)

. Справедливости ради замечу, что у кого-то эти последствия могут прийти в критическую точку образно через год, у кого-то через 5 лет. Это индивидуально.

Либо надо делать правильно сразу. Правильно – это делать ВСЕ ЗУБЫ РАЗОМ РОВНО!

К, счастью, всё можно исправить!

Если десны мало, то её надо нарастить, чтобы еда не лежала на коронках как на полке.

Если зубы криво стоят, надо поставить брекеты или элайнеры и выпрямить их.

Если уже сделаны коронки, мосты со ступеньками, то надо их переделывать.

Не просто узко решать проблему, а смотреть сразу на перспективу, что вообще со всеми зубами происходит!


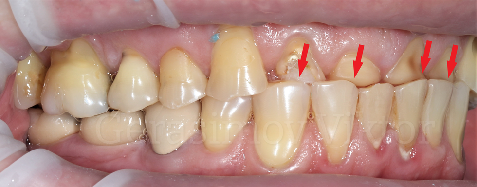
Вот, пожалуйста, еще интересный пример из той же оперы:

У пациента сильно стёрлись 4 верхних центральных зуба.

Он идёт к стоматологу с мыслью, что сейчас 4 зуба сделает и будет всё ок!

Надо ведь просто сделать эти 4 зуба длиннее!

Остальные зубы, кстати, тоже стёрлись. Просто не так сильно, как эти.

А давайте посмотрим внимательно.

Эти 4 зуба кусают стык в стык в нижние зубы.

Мы удлиняем эти 4 зуба на 3 мм, например.

Что произойдёт?

Пациент закроет рот и сомкнутся только эти 4 зуба с 6ю противоположными нижними зубами. А между всеми остальными зубами слева и справа будет щель – они не сомкнутся!

Чтобы починить эти 4 зуба, надо делать все зубы!!!!!

Поэтому человек приходит с мыслью восстановить 4 зуба, а уходит от стоматолога с финансовым планом на все зубы стоимостью от 1 млн. рублей!


Резюмируя выше сказанное, если проблемы решать не своевременно, а когда-нибудь потом, частями и с минимальными капиталовложениями, то однажды вы получите от стоматолога такой же удивительный план на полный ремонт-вставление всех зубов сразу.

Красивый новый зуб?)))

Почему он такой?

Вот почему.

Этого зуба давно не было. Нижний вылез наверх. Сначала надо было поставить брекеты, выровнять зубы. Этот зуб опустить вниз. А потом ставить имплант и в конце делать этот зуб на имплант.

Если посмотрите на 2 следующих зуба справа от этого коротышки, то увидите, что они все разной длины и зубы снизу соответственно тоже.

Проблемы надо решать комплексно, а не фрагментарно!




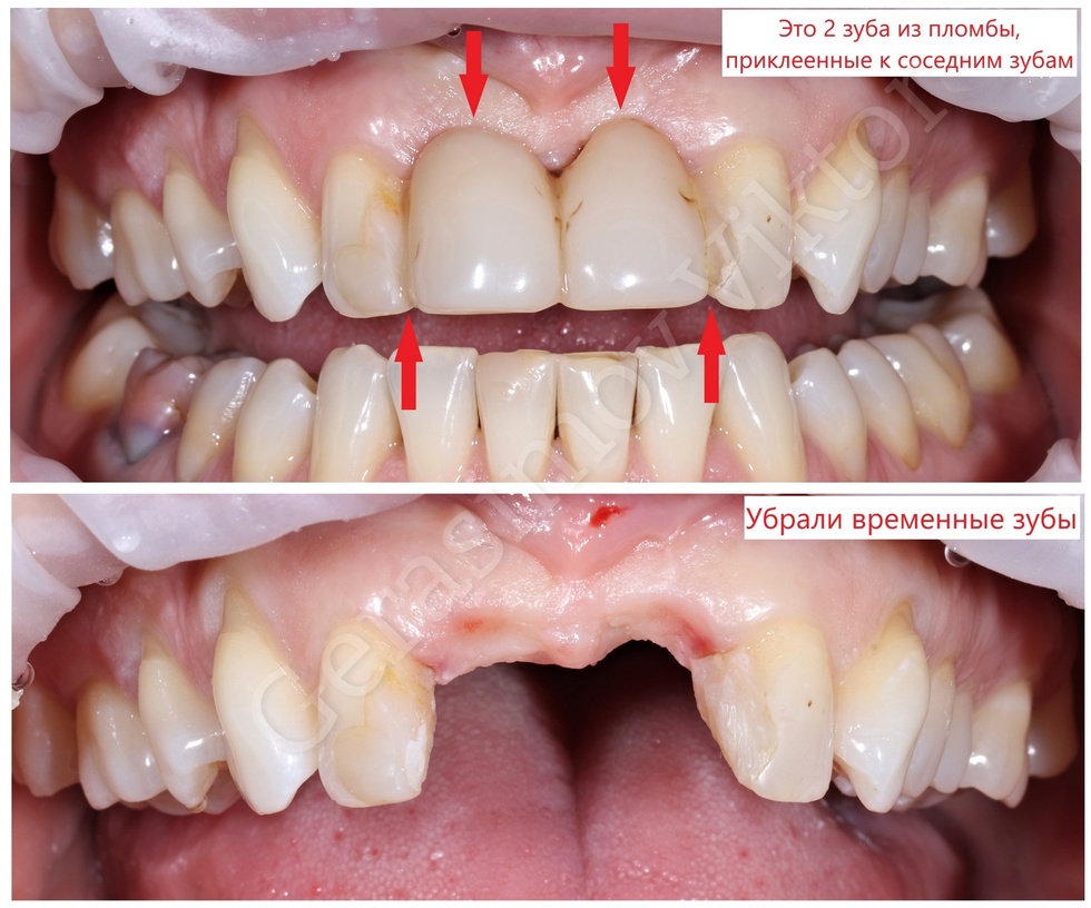
Зачем делать временные коронки(зубы), если можно сразу постоянные?

Временная коронка - временный зуб. Он выглядит внешне как нормальный зуб. Временный - потому что из временного материала(пластмассы), в отличие от постоянного зуба, который изготавливается, например, из металлокерамики или диоксида циркония.

Зачем делать временный зуб на имплант?

- чтобы не ходить с дыркой, пока приживается имплант (не всегда возможно)

 -«Тест-драйв» перед постоянным зубом. Может так получиться, что ваши ожидания могут не совпасть с реальностью и зуб, который по итогу вы себе представляете, может быть не похож на тот, который будет изготовлен.

Почему? Ответ в предыдущем вопросе. 

- временная коронка формирует вокруг себя десну. Десну можно коронкой отодвинуть в разные стороны, что увеличит визуально объём десны вокруг зуба + может даже сформировать новые десневые сосочки (уменьшится вероятность застревания пищи между зубами).

Вот еще пример:

Ваш психологический настрой и сравнение вашего лечения с мамой, папой, братом, сватом…

Моему брату/свату/ сестре/золовке поставили вот такой-то имплант, хочу такой же! Мой брат/сват/сестра/золовка так мучились после имплантации…или у них не прижилось…или прижилось… или им наращивание не делали…

Одни штаны всем не подойдут!

Медицина — это не математика!

И всех уравнивать при сравнении друг с другом неправильно.

У каждого пациента разные исходные данные (количество кости, десны, наличие сопутствующих заболеваний, вредные привычки (курение, например) и т.д. Кому-то надо восстановить центральный зуб, а кому-то боковой. И как бы странно не звучало — это не всегда одно и тоже.

 Например, у вашего друга нет нижнего бокового зуба. Кости и десны много (в том месте, где надо ставить имплант). Ему поставили имплант, прикрутили к нему зуб получилось быстро и бюджетно. Отлично! Ещё добавим, что друг работает удаленно и из дома выходит раз в неделю в магазин.

Вы идёте к врачу с мыслью, что вас также полечат. Только вот у вас отсутствует центральный верхний зуб, мало кости и десны, вы работаете с людьми и при широкой улыбке, верхняя губа поднимается высоко и обнажает полностью не только зубы, но ещё и десну. Как думаете, вам подходит план лечения вашего друга? К каждому пациенту индивидуальный подход!

 Также я бы хотел добавить одну немаловажную деталь, которая влияет на успех лечения.

Это психологический настрой пациента!

 Если вы по жизни любите похандрить, на всё жалуетесь, всё вам не так и не эдак, все вокруг во всём виноваты, хотят на вас нажиться, врачу вы не доверяете и т.д., то, как показывает практика не только моя, но и коллег, то даже при идеально исполненной процедуре, могут начаться осложнения на ровном месте. И наоборот!

Трещины и переломы имплантов


Знаете, что это?

Это сломанные импланты.

Давайте представим картину:

Вы решили, к примеру, сделать сегодня на ужин шикарный стейк из мраморной говядины. В какой-то момент вам позвонили по телефону по очень важному вопросу и, по окончанию разговора, вы обнаруживаете, что ваша любимая прожарка, к примеру, medium превратилась в супер well done. Или, другими словами, стейк стал как подошва! Ну не пропадать же добру, надо попробовать! Вы кусаете стейк и ХРЯСЬ! Странный хруст!? Ещё раз кусили…Вроде нормально. Странно. А через несколько дней у вас опухает десна у зуба на импланте. Вы идёте к стоматологу, и после осмотра выясняется, что у вас треснул имплант!

Или, например, не было хруста. Но у вас начал откручиваться зуб от импланта. Один раз (это ничего страшного, такое может быть), потом через неделю-месяц второй раз (уже странно), а потом третий (а вот это уже не норма). Итог тот же - трещина в импланте.

 Встаёт вопрос: а как так???

 Тут несколько вариантов:

Например, у вас стоял имплант узкого диаметра на месте большого бокового зуба.

Почему поставили туда узкий имплант?

 Вероятно, потому что ширина кости шире имплант не позволила.

А почему не нарастили кость?

Может, потому что врач не знал, что такой имплант лучше не ставить сюда;

А может знал, но решил, что всё будет ок (далеко не у всех ломаются даже узкие импланты - вы мужчина 2 м. роста 120 кг веса, или хрупкая девушка 1.55м?);

А может вы сказали: я наращивание делать не хочу и не буду, ни за что и никогда (процент успеха наращивания, в зависимости от типа наращивания, может быть всего 50%).


А есть еще один неожиданный вариант:

 Оказывается, есть одна известная и широко распространённая система имплантов    ( в том числе в вашем городе), у которой импланты некоторых диаметров (не только узких, но и средних!!!) имеют тонкую стенку, которая может треснуть даже при обычном приёме пищи! И это вопрос к производителю!

Диаметры разные – 3,5 и 4,0 мм, а толщина стенки у обоих 0,23!!!

 (Поясню: чем шире диаметр импланта, тем толще должна быть стенка)

Экономить или нет?

Я бы хотел обратить ваше внимание на то,  что исключительно потребительский подход (поставлю там, где дешевле предложат) к восстановлению зуба на импланте может с легкостью привести вас к печальному результату. Это не как покупка телефона, автомобиля и т.д. К сожалению, коварность ситуации заключается в том, что даже плохо установленный имплант и/или плохо сделанный на него зуб, сразу не дадут знать о себе (здесь мы не берём в расчёт ситуации, когда, к примеру имплант не прижился и это видно в срок от нескольких дней до нескольких месяцев). Гарантия на работу в большинстве клиник, как правило 1 год, а проблемы с таким имплантом настигнут вас в срок примерно от 3 до 7 лет. И если через это время покупка нового телефона/автомобиля вызовет у вас положительные эмоции, то, поверьте, переделка импланта вам не понравится.


Поэтому если вы приняли решение выбрать стоматолога, руководствуясь исключительно дешевизной лечения, предлагаю вам обратить внимание на эти говорящие фотографии:


P. S.: несмотря на то, что имплант — это лучший метод восстановления отсутствующего зуба, помните, что свой зуб (если он конечно нормальный) всегда лучше, чем имплант!

Спасибо за внимание!